这是治疗颈动脉重度狭窄、预防脑梗的常用微创介入手术,我用最易懂、不吓人的方式讲清楚。
一、这手术是干嘛的?
颈动脉是给大脑供血的“主干道”。
颈内动脉起始段最容易长斑块、变窄,狭窄严重后:
l 大脑供血不足
l 斑块脱落 → 直接堵脑血管 → 脑梗/中风
支架手术 = 把狭窄的血管撑开、撑住,恢复供血,降低脑梗风险。
二、适合谁做?
l 颈动脉狭窄 ≥70%(重度狭窄)
l 有过小中风、一过性黑朦、肢体无力等症状
l 医生评估斑块不稳定、容易脱落
三、手术怎么做(极简版)
Ø 微创穿刺
一般从大腿根部股动脉或手腕动脉穿刺,不用开大刀。
Ø 导管到达狭窄处
细导管顺着血管走到颈内动脉起始段狭窄位置。
Ø 放保护伞(重要)
先放一个小“滤网”在狭窄远端,接住可能脱落的小斑块,防止进脑。
Ø 扩张+放支架
球囊扩张狭窄处,再放入金属支架,把血管撑住。
Ø 撤出器械,结束
伤口只有一个针眼,压迫止血即可。
四、特点与优势
l 微创:不开颅、不开颈,伤口小
l 时间短:常规1小时左右
l 恢复快:术后1–3天可下床活动
l 目的明确:显著降低脑梗风险
五、风险(客观但不用恐慌)
任何手术都有风险,但发生率整体不高:
l 术中小斑块脱落 → 短暂脑缺血/小中风
l 血管痉挛、少量出血、再狭窄
l 造影剂过敏、肾负担(医生会提前评估)
术前医生会做:CTA/MRA/DSA 精准评估。
六、病历分享
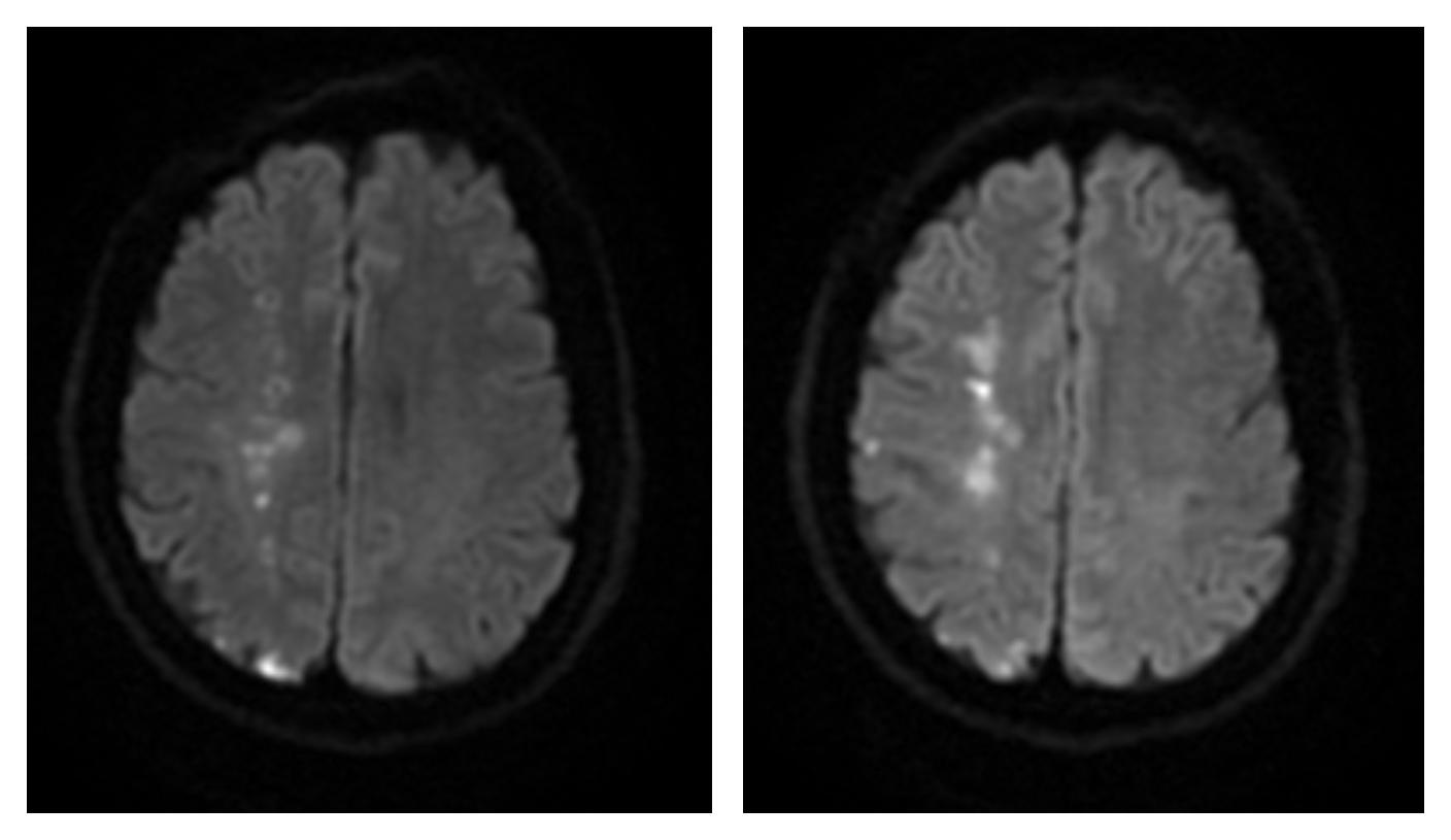
56岁男患,因“左侧肢体无力2月余”入院;既往有高血压病史,规律口服药物治疗。查颅脑MRI+DWI提示右侧额颞顶枕叶散在多发急性脑梗死;查头颈部CTA提示右侧颈内动脉C1段混合斑块,官腔重度狭窄;查头颅CTP提示右侧基底节区、额叶、颞叶、顶叶、枕叶异常灌注区,积极行右侧颈内动脉起始段球囊扩张形成术及支架植入术,再配合康复治疗,最终恢复正常出院。
|
|
术前影像DWI
|
|
|
术前CTA
术前CTP
术前DSA(右侧颈内动脉起始段重度狭窄)
术后DSA(右侧颈内动脉起始段支架植入术后)
七、术后要注意什么
l 长期吃 抗血小板药(如阿司匹林+氯吡格雷),不能自己随便停
l 控制三高:血压、血糖、血脂
l 戒烟、少酒、清淡饮食、规律运动
l -定期复查颈动脉超声
简单总结:
颈内动脉起始段支架 = 给大脑“主干道”疏通+加固,是预防脑梗非常成熟、有效的微创手术。

